Advanced, painless root canal procedures to save infected or damaged teeth.
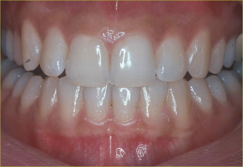
Braces and aligners are popular orthodontic treatments designed to straighten teeth, correct bite problems, and improve overall oral health. Misaligned or crowded teeth not only affect appearance but can also make cleaning difficult, leading to cavities, gum disease, and jaw discomfort. With modern orthodontics, achieving a confident smile is now easier and more comfortable than ever.
Traditional dental braces use metal or ceramic brackets and wires to gradually move teeth into the correct position. They are highly effective for treating complex alignment issues such as severe crowding, gaps, and bite problems. Today’s braces are smaller, lighter, and more comfortable compared to earlier versions, making them suitable for both teenagers and adults.
Clear aligners, on the other hand, are a modern alternative to braces. They are transparent, removable trays custom-made to fit your teeth. Aligners are especially popular among adults because they are nearly invisible and can be removed while eating, brushing, or attending social events. They work best for mild to moderate alignment problems and require wearing them for most of the day to achieve desired results.
Both braces and aligners provide long-term benefits beyond aesthetics. Straight teeth are easier to clean, reduce the risk of dental problems, and improve speech and chewing efficiency. The choice between braces and aligners depends on individual dental needs, lifestyle, and budget.
Consulting an experienced dentist or orthodontist is the first step toward choosing the right treatment. With proper care and guidance, braces or aligners can give you a healthy, well-aligned smile that lasts a lifetime.

+91-95464 61493
RAM RAKSHA NIWAS, Deputy Para Rd, near NETRAM EYE CLINIC, Ahirtoli, Ranchi, Jharkhand 834001
+91-95464 61493
Guru Nanak Hospital & Research Centre, Station Road Siram, Ranchi

"I had an excellent experience at Dr. Rishi Raj Dental Clinic in Ranchi. Dr. Rishi Raj is a highly skilled and specialized dental surgeon who explained everything clearly. The treatment was painless, hygienic, and truly professional. Highly recommended for reliable dental care."

"As a student patient, I had a great experience at Dr. Rishi Raj Dental Clinic in Ranchi. Dr. Rishi Raj is a highly skilled dental surgeon who explained my treatment clearly. The clinic is clean, affordable, and the care was gentle and professional. Highly recommended."

As a working professional, I had an excellent experience at Dr. Rishi Raj Dental Clinic in Ranchi. Dr. Rishi Raj is a highly experienced dental surgeon who values time, explains procedures clearly, and delivers precise, painless treatment in a clean, professional environment.
Most trusted dental clinic in Ranchi, dedicated to delivering gentle, ethical, and advanced dental care for patients of all ages. We believe a healthy smile is not just about teeth—it’s about confidence, comfort, and overall well-being.
© 2025 Designed & Developed by: Arkahive Digital